
Vos patients ne comprennent pas vos devis ? Vos assistantes hésitent ?
Aiden Viewer rend vos radios limpides.
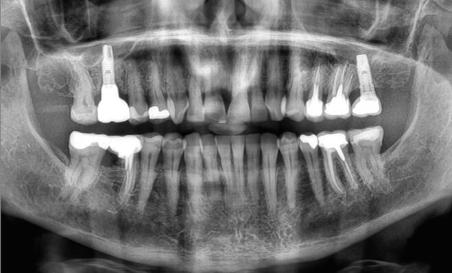
Avec Aiden Viewer, faites visualiser clairement vos panoramiques et rétroalvéolaires à vos patients grâce à l’IA.
Un outil simple, pédagogique, utilisable immédiatement.
Conçu pour les omnipraticiens et leurs assistantes.
✅ Déjà utilisé par 1000 praticiens
Avant Aiden Viewer

Après Aiden Viewer

📸 Radios illustrées
Affichez vos radios types avec surlignage pédagogique automatique.
🤖 IA éducative
Zones d’intérêt générées à but illustratif, sans fonction clinique.
👩🏫 Formation facile
Formez vos assistantes et expliquez vos soins avec plus de clarté.
Compatible et inter-opérable avec :









Besoins de plus d'informations? Envie d'une démonstration gratuite?
Aiden Viewer est un outil à visée exclusivement pédagogique.
Il ne constitue pas un dispositif médical et ne doit pas être utilisé pour établir un diagnostic ou un plan de traitement.
Les zones d’intérêt générées par IA sont proposées à des fins illustratives uniquement.
© 2025 Aiden Care. Tous droits réservés.